0%
Портфолио - основное изображение
Портфолио - до 1
Портфолио - после 1
Портфолио - до 2
Портфолио - после 2
Портфолио - до 3
Портфолио - после 3
Портфолио - до 4
Портфолио - после 4
Портфолио - до 5
Портфолио - после 5

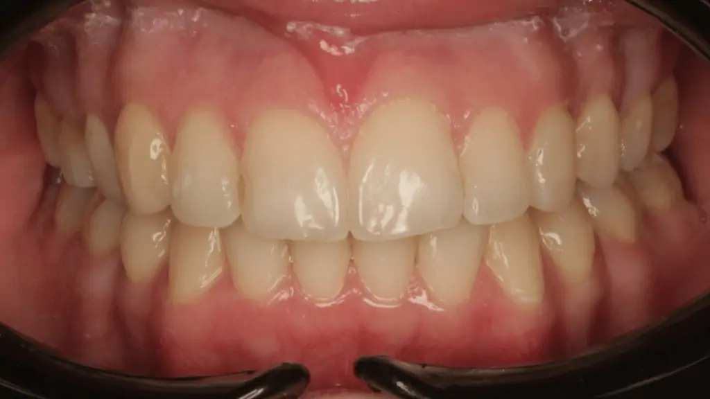
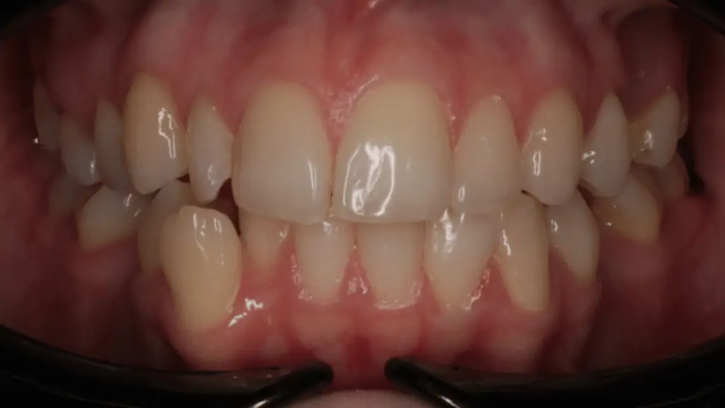
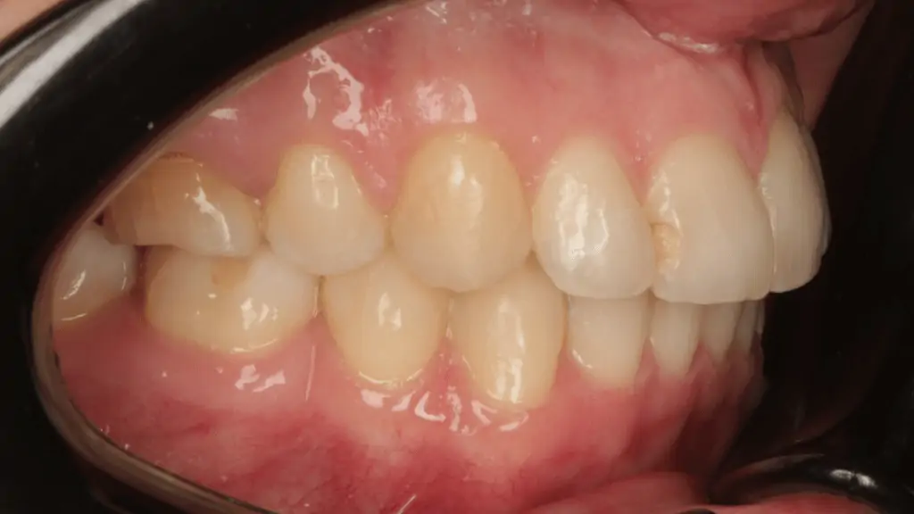
Профессиональная гигиена полости рта

В рамках данного кейса была выполнена комплексная профессиональная гигиена полости рта, направленная на поддержание здоровья зубов и дёсен.
Процедура включала:

  • бережное удаление мягкого и твёрдого зубного налёта,
  • очистку межзубных промежутков и труднодоступных участков,
  • тщательную полировку эмали.

Во время процедуры использовались современные и безопасные методы, позволяющие эффективно очистить зубы без повреждения эмали и дискомфорта для пациента

Результат

После гигиены пациент отметил ощущение чистоты и свежести, улучшение цвета зубов и общее повышение комфорта.
Регулярная профессиональная гигиена помогает предотвратить кариес и воспаление дёсен, сохраняя улыбку красивой и ухоженной.

Записаться к врачу
Отправьте заявку и мы запишем Вас на консультацию или прием в течение 5 минут