0%
Портфолио - основное изображение
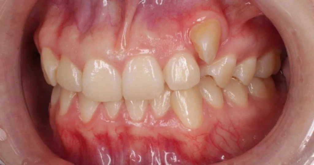
Портфолио - до 1
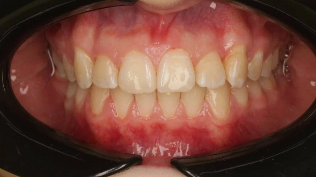
Портфолио - после 1
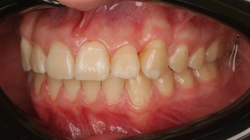
Портфолио - до 2
Портфолио - после 2
Записаться к врачу
Отправьте заявку и мы запишем Вас на консультацию или прием в течение 5 минут
Калькулятор
Рассчитайте предварительную цену, пройдя короткий тест за 20 секунд
Рассчитать цену онлайн