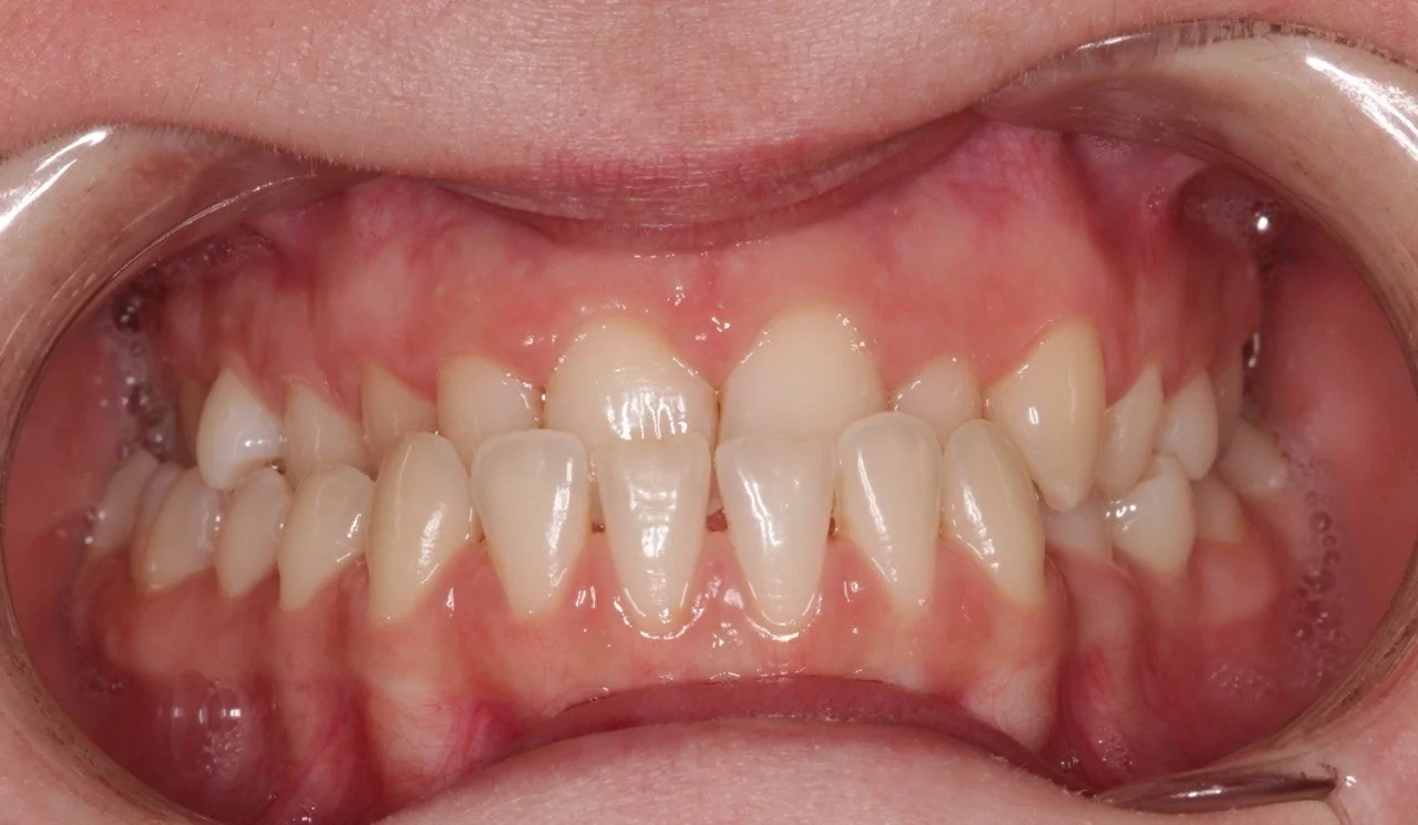
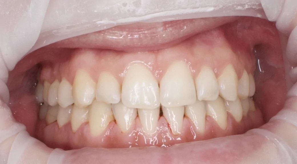
Специализация:
Врач стоматолог-ортодонт 1 категории
Загрузите архив .rar, .zip или изображения .jpg, .png, .bmp, .gif.