0%
Портфолио - основное изображение
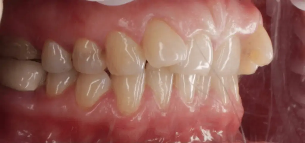
Портфолио - до 1
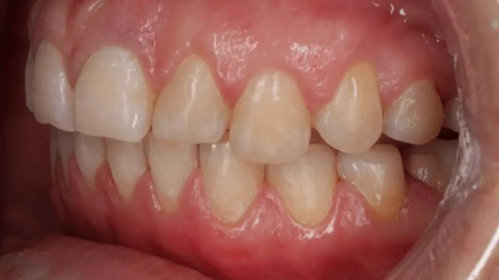
Портфолио - после 1
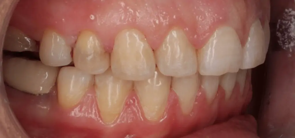
Портфолио - до 2
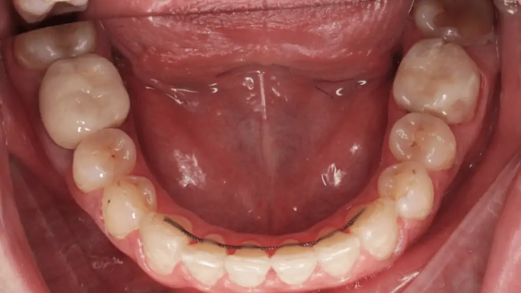
Портфолио - после 2
Портфолио - до 3
Портфолио - после 3
Портфолио - до 4
Портфолио - после 4
Портфолио - до 5
Портфолио - после 5

Описание работы: Дистальный прикус, сужение верхнего зубного ряда, ретрузия зубов 11, 21, протрузия зубов 12, 22.

Лечение: брекет-система Damon Q.

Срок лечения: 1,5 года.

Записаться к врачу
Отправьте заявку и мы запишем Вас на консультацию или прием в течение 5 минут
Калькулятор
Рассчитайте предварительную цену, пройдя короткий тест за 20 секунд
Рассчитать цену онлайн