0%
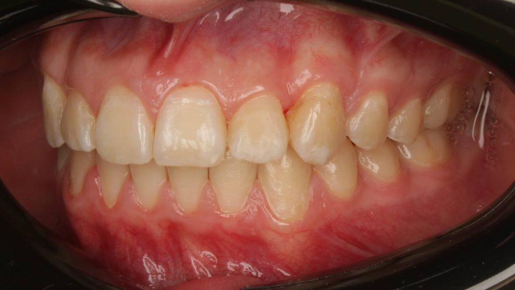
Портфолио - основное изображение
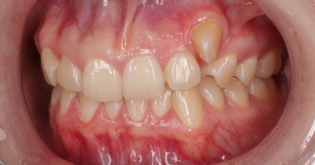
Портфолио - до 1
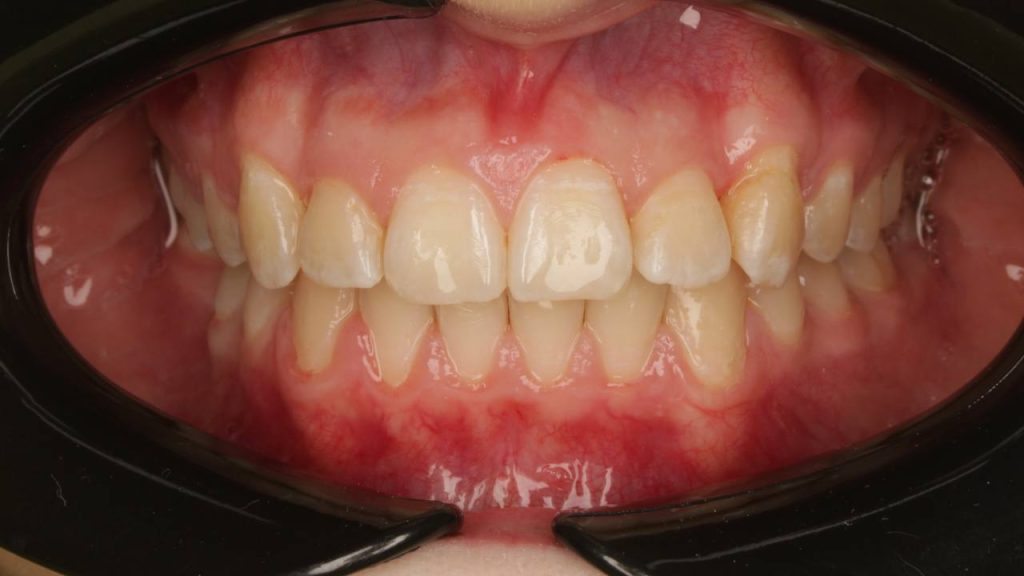
Портфолио - после 1
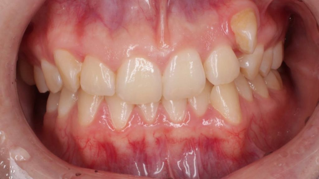
Портфолио - до 2
Портфолио - после 2
Записаться к врачу
Отправьте заявку и мы запишем Вас на консультацию или прием в течение 5 минут